Spathidium amphoriforme und Euglypha ciliata

Wimpertiere und Sauginfusorien
Antworten
Nachricht
Autor
Benutzeravatar
SNoK
Beiträge: 306
Registriert: 18. Mai 2020, 15:19
Hat sich bedankt: 77 Mal
Danksagung erhalten: 265 Mal
Kontaktdaten:

Spathidium amphoriforme und Euglypha ciliata

#1 Beitrag von SNoK » 3. April 2021, 13:06

Ich hatte vor rund zwei Wochen Moosproben gesammelt und in Petrischalen angesetzt. Jetzt habe ich noch mal in die Schälchen geschaut und den Ciliaten Spathidium amphoriforme entdeckt, wie auch eine Schalenamöbe Euglypha ciliata. Letztere habe ich aus sechs Bildern gestackt. Der Ciliat ist rund 170-200 µm lang (ich hatte zwei verschiedenen Exemplare). Die Amöbe ist nur 50 µm lang. S. amphoriforme hat eine ganz typische Form mit dem spatelförmigen Kopfbereich und dem Wulst an dessen Ende. Die Dorsalbürste konnte ich trotz vieler Bilder nicht eindeutig erkennen, aber es könnte sein, dass es beim vierten Bild die kurzen Borsten im oberen Drittel auf der linken Seite sind.

Ostergrüße
Stephan

Dies ist eine Übersicht, auf der die Wimperreihen, aber auch die kontraktile Vakuole am Ende gut zu erkennen sind.
Dies ist eine Übersicht, auf der die Wimperreihen, aber auch die kontraktile Vakuole am Ende gut zu erkennen sind.
DSC06819c.jpg (80.5 KiB) 8084 mal betrachtet
Hier sieht man die ca. 15-20 Wimpernreihen.
Hier sieht man die ca. 15-20 Wimpernreihen.
DSC06822c.jpg (63.44 KiB) 8084 mal betrachtet
Hier gesellt sich noch ein kleiner Ciliat dazu. Unbestimmt.
Hier gesellt sich noch ein kleiner Ciliat dazu. Unbestimmt.
DSC06803 (4).jpg (70.8 KiB) 8084 mal betrachtet
Die kontraktile Vakuole ist am Ende, und in sie ergießen sich kleinere Vakuolen. Die Kernverhältnisse sind sehr unterschiedlich, hier sind es vermutlich viele aufgeknäulte. Vielleicht ist auf diesem Bild die Dorsalbürste auf der linken Seite im oberen Drittel zu erkennen. Zumindest sind dort viele kurze Borsten zu sehen.
Die kontraktile Vakuole ist am Ende, und in sie ergießen sich kleinere Vakuolen. Die Kernverhältnisse sind sehr unterschiedlich, hier sind es vermutlich viele aufgeknäulte. Vielleicht ist auf diesem Bild die Dorsalbürste auf der linken Seite im oberen Drittel zu erkennen. Zumindest sind dort viele kurze Borsten zu sehen.
DSC06904d.jpg (65.43 KiB) 8084 mal betrachtet
Dateianhänge
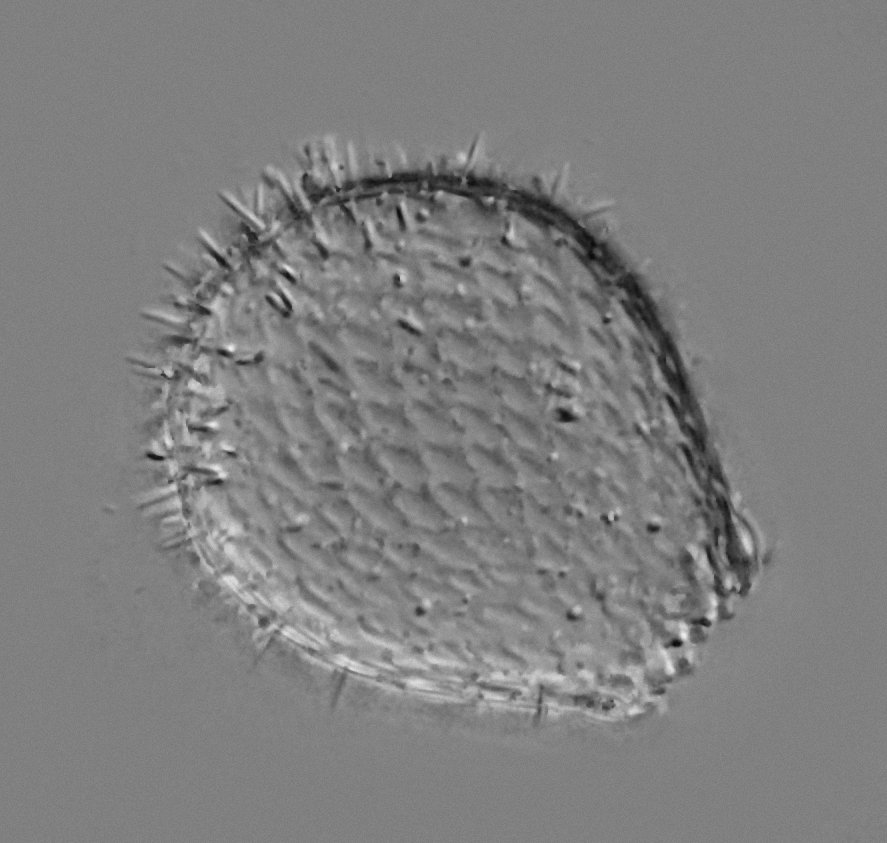
Die Schalenamöbe ist mit Kieselschuppen überzogen und hat kurze Stacheln.
Die Schalenamöbe ist mit Kieselschuppen überzogen und hat kurze Stacheln.
Euglypha ciliata 1.jpg (103.79 KiB) 8084 mal betrachtet
Folgende Benutzer bedankten sich beim Autor SNoK für den Beitrag (Insgesamt 3):
Michael, paramecium, Pelagodileptus
Bewertung: 37.5%
 

Lorbass
Beiträge: 6
Registriert: 22. Februar 2021, 20:52
Danksagung erhalten: 2 Mal

Re: Spathidium amphoriforme und Euglypha ciliata

#2 Beitrag von Lorbass » 3. April 2021, 21:13

Hallo Stephan,
ich habe zufällig nahezu zeitgleich (2.4.) ebenfalls die sog. Schwerttierchen in meiner Heuprobe aus dem Garten, allerdings ist das Schwert viel ausgeprägter. Ich hab es daher einfach Messertierchen genannt, weil es wie ein Bowiemesser aussieht. Übrigens zeigt sich am Übergang zwischen Klinge (praktisch Granula-frei transparent, stark längsgefurcht) eine charakteristischer Knick, der in Deinen Fotos, wie auch allen Fotos aus der Literatur, nicht zu erkennen ist. In allen lit. Fotos ist die Klinge im Verhältnis zum Gesamtkörper deutlich kürzer. Bei meinen Tierchen beträgt sie fast die Hälfte der Gesamtlänge (ca. 100-120 um). Zur besseren Demonstration habe ich Spielereien aus mehreren Perspektiven gemacht. Z.T. aus Video ausgekoppelt. Ein Video stelle ich noch nach youtube ein. Was meinst Du, ist das eine normale Variation des Phänotyps oder eine gesonderte Spezies?
Danke für Deine Fotos, spitze. Meine sind mehr zur Charakterisierung geeignet, da ich noch ohne Blitz arbeite, aber ich bin dennoch stolz, da ich solch Individuum noch nie unter der Linse hatte.
Frohe Ostern!!!
Dateianhänge
spathidium-5.jpg
spathidium-5.jpg (62.01 KiB) 8072 mal betrachtet
spathidium-4.jpg
spathidium-4.jpg (28.09 KiB) 8072 mal betrachtet
spathidium-3.jpg
spathidium-3.jpg (63.2 KiB) 8072 mal betrachtet
Folgende Benutzer bedankten sich beim Autor Lorbass für den Beitrag:
paramecium
Bewertung: 12.5%
 

Benutzeravatar
SNoK
Beiträge: 306
Registriert: 18. Mai 2020, 15:19
Hat sich bedankt: 77 Mal
Danksagung erhalten: 265 Mal
Kontaktdaten:

Re: Spathidium amphoriforme und Euglypha ciliata

#3 Beitrag von SNoK » 3. April 2021, 22:06

Danke für die Rückmeldung und Deine Bilder. Von Spathidium gibt es eine ganze Reihe Arten. Nach Kahl (1930) allein 64. Deswegen glaube ich nicht, dass Deine eine neue Art ist. Allein vom Habitus, und mehr kann man ja nicht erkennen, sieht es aus wie S. lionotiforme, aber um das genau zu sagen, bräuchte es mehr Details.

Grüße
Stephan
Mikroskope: Leica DMRB mit Plan Fluotar und PlanApo, Leitz Dialux mit NPl
Stemi: Zeiss Stemi 508, Wild-Heerbrugg M5
Kamera: Sony alpha 6400 und 6500
Webseite: https://kralls.de
Vorstellung: viewtopic.php?f=32&t=831

Lorbass
Beiträge: 6
Registriert: 22. Februar 2021, 20:52
Danksagung erhalten: 2 Mal

Re: Spathidium amphoriforme und Euglypha ciliata

#4 Beitrag von Lorbass » 4. April 2021, 20:07

Hallo Stephan,
ja da kannst Du recht haben. Nach: https://www.zobodat.at/pdf/STAPFIA_0012_0001-0165.pdf ist Dein Tierchen Epispathidium amphoriforme und meins Arcuospathidium lionotiforme, passt auch wegen der detaillierten Formbeschreibung.
Gruss Lorbass

Antworten